Porcelain Veneers In Santa Rosa, CA
Achieve a Complete Smile Makeover with Porcelain Veneers
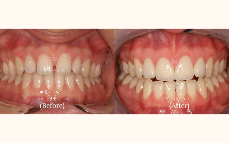
Are you thinking of transforming your smile? Santa Rosa Dentistry and Implant Center can help you rediscover a radiant, flawless smile with porcelain veneers. Our commitment to excellence is reflected in every veneer we create. Dr. Wayne Sutton and the team use the highest quality materials to deliver results that enhance your smile and boost your confidence. Whether you want to correct discoloration, chips, or misalignment, our veneers offer a transformative solution that leaves you with a smile you’ll be proud to share.
What do porcelain veneers do?
Veneers are wafer-thin tooth-colored sheaths designed to cover the front surfaces of your teeth. Our veneers are created from high-quality porcelain material known for its durability and life-like appearance. Porcelain veneers can address numerous dental concerns, including:
- Stained or discolored teeth
- Chipped or cracked teeth
- Uneven or misshapen teeth
- Noticeable spaces between your teeth
- Worn out teeth
- Slightly misaligned teeth
Veneers are thin handcrafted porcelain shields worn on the front of the tooth which improve the appearance of teeth that are chipped, cracked, stained or worn. Veneers are thin as contact lenses, and are an aesthetically pleasing option of closing gaps, lengthening teeth, and providing symmetry to make your smile more natural. Veneers are intended to last for many years without changing color. They are one of the most popular cosmetic procedures in dentistry. Ask your dentist if veneers may be right for you.
What is the process of getting porcelain veneers?
Your treatment starts with a consultation with Dr. Sutton. We’ll evaluate your oral health and discuss your smile goals to determine your veneer eligibility. If you are a veneer candidate, we’ll create a personalized treatment plan, determining the exact number of veneers needed, their shape, color, and size.
To ensure your veneers fit naturally, we’ll gently remove a small amount of the enamel from the tooth’s front surface. The dentist uses highly effective anesthetics and possible sedation dentistry for a painless experience. After tooth preparation, we digitally scan your teeth to create a blueprint for fabricating your restorations.
We’ll send your digital records to a dental lab to custom-make your veneers to match your teeth’ exact color, shape, and size. In the meantime, we’ll protect your prepped teeth with interim restorations to maintain their appearance.
Once the veneers are ready, you’ll come to our office for placement. We’ll make a few adjustments to your veneers to achieve an optimal fit and natural appearance. Once your dental veneers are in place, you will leave our office with a brand-new smile and renewed confidence.
Cosmetic Dentistry Consult
Take the first step towards the smile of you deserve by booking your cosmetic consult today.

How do I maintain my new smile?
We love porcelain veneers because they create durable, aesthetically appealing results. However, even the best restorations require good care to keep looking their best. Follow these tips to ensure your veneers last long and maintain their aesthetic appeal.
- Brush your teeth twice daily with a soft-bristled toothbrush and non-abrasive toothpaste.
- Floss your teeth at least once daily to remove food debris between your teeth.
- Visit your dentist bi-annually for dental exams and cleanings.
- Protect your restorations with a custom-made nightguard if you participate in contact sports or brux your teeth.
- Don’t use your teeth to tear packages or bite fingernails.
Porcelain Veneers Testimonial
Are you ready for a smile upgrade?
Do you want a quick solution to straighten your slightly misaligned teeth without braces? Or do you want to erase the chips, gaps, and discoloration that makes you hesitant to smile? Consider porcelain veneers in Santa Rosa, CA. Whether you need just a few veneers to enhance specific teeth or a full set for a complete makeover, you can trust Santa Rosa Dentistry and Implant Center. Call (707) 542-6772 to schedule your appointment today!
Dr. Wayne Sutton
Connect with Dr. Wayne Sutton on Linkedin
Dr. Sutton is one of the premier cosmetic dentists in Sonoma County, and with over 25 years of experience, his implant center maintains a standard of excellence using the strongest dental implant bridge currently available to provide predictable full mouth dental implant reconstructions.
Dr. Sutton completed his postgraduate studies at The Pacific Aesthetic Continuum in San Francisco and received his doctorate, three years of experience as a clinical instructor, and the coveted “Clinical Excellence Award” from UCSF School of Dentistry in 1997. He also earned his Fellowship in the Academy of Comprehensive Esthetics and studied Advanced Occlusion at the Hornbrook Group.
Dr. Sutton continues to take four times the annual continuing education requirements to maintain his license. As a member of the American Academy of Cosmetic Dentistry, the Dental Organization for Conscious Sedation (awarded his Fellowship), the Academy of General Dentistry (Fellowships status), the American Dental Implant Association (Diplomat status), the American Dental Association, the American Academy for Dental Sleep Medicine, Dr. Sutton is also a select cosmetic dentist recognized as an Official Dentist of the Mrs. Globe – Mrs. USA Pageants.
Now Accepting New Patients!
Appointments are available. Request your appointment today.
(All photos of actual patients)