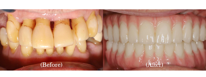
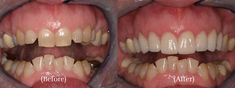
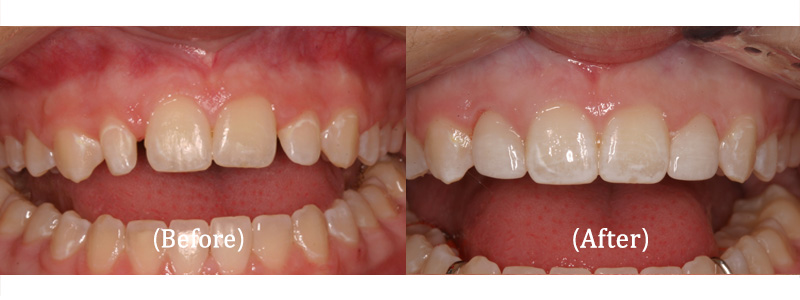
A seamless blend of veneers and porcelain bridges created to rejuvenate the upper arch, enhancing harmony, proportion, and brilliance for a flawless, picture-perfect look.
Full Upper Arch of Veneers & Porcelain Bridges
A seamless blend of veneers and porcelain bridges created to rejuvenate the upper arch, enhancing harmony, proportion, and brilliance for a flawless, picture-perfect look.
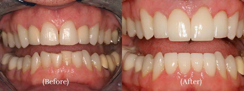
Full Upper Arch of Porcelain Restorations
A stunning transformation with a full upper arch of custom-crafted porcelain restorations, bringing back strength, symmetry, and a radiant, natural-looking glow.
Full Upper Arch of Porcelain Restorations
A stunning transformation with a full upper arch of custom-crafted porcelain restorations, bringing back strength, symmetry, and a radiant, natural-looking glow.
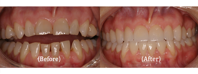
Upper Porcelain Crowns
A stunning enhancement with porcelain crowns, restoring damaged teeth with durability and elegance for a seamless, natural-looking smile.
Upper Three-Unit All Porcelain Bridges & Lateral Teeth Removal
A masterfully designed three-unit all-porcelain bridge to replace lateral teeth with seamless elegance, ensuring a balanced, natural, and beautifully restored smile.
Porcelain Crowns (Full Mouth)
A complete smile revival with full-mouth porcelain crowns, enhancing durability, symmetry, and brilliance for a confident, refreshed look.
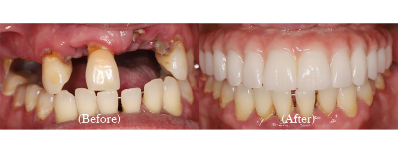
Upper Porcelain Crowns and Implant Restoration
A stunning transformation with upper porcelain crowns and implant restoration, rebuilding strength, function, and a beautifully natural smile.
Full Smile
Upper 10 Veneers and Special Whitening
A bright, confident smile with 10 veneers and special whitening for an extra radiant glow.
Upper 8 Veneers
A balanced and polished smile with eight custom veneers, bringing symmetry and brightness.
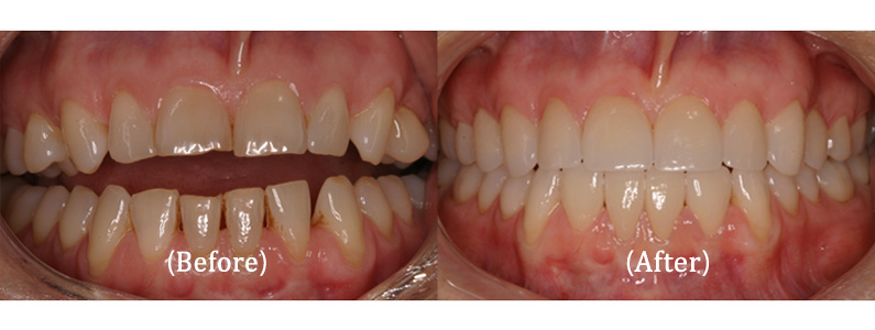
Veneers and Contouring
A refined smile with veneers and contouring for smooth, even, and beautifully shaped teeth.
Full Smile Makeover
A complete smile makeover with custom veneers, designed for a fresh, natural, and confident look.
Minimal Prep Veneers on Upper 4 Teeth
A subtle yet stunning upgrade with minimal-prep veneers, enhancing the upper four teeth for a naturally beautiful and refined smile.
Implants
Full Implant-Supported Permanent Teeth
A remarkable full-mouth restoration with implant-supported permanent teeth, delivering lasting strength, function, and a naturally stunning smile.
Full Implant-Supported Permanent Teeth
A remarkable full-mouth restoration with implant-supported permanent teeth, delivering lasting strength, function, and a naturally stunning smile.
Full Implant-Supported Upper & Lower Zirconium Bridges
A life-changing smile makeover with full implant-supported zirconium bridges, restoring beauty, function, and confidence with a flawless, long-lasting design.
Full Implant-Supported Upper & Lower Zirconium Bridges
A life-changing smile makeover with full implant-supported zirconium bridges, restoring beauty, function, and confidence with a flawless, long-lasting design.
Upper Full Arch Implant-Supported Zirconium Bridge (Permanent, Screw-Retained)
A remarkable transformation with a full upper arch of implant-supported zirconium, providing unmatched strength, durability, and a naturally radiant smile.
Upper Full Arch Implant-Supported Zirconium Bridge (Permanent, Screw-Retained)
A remarkable transformation with a full upper arch of implant-supported zirconium, providing unmatched strength, durability, and a naturally radiant smile.
Upper Reconstruction with Porcelain and Implant-Supported Bridges
An incredible restoration with porcelain and implant-supported bridges, rebuilding the upper smile with lasting strength, beauty, and function.
Upper Implant-Supported Cosmetic Removable Teeth
A transformative restoration with upper implant-supported cosmetic removable teeth, blending security, comfort, and beauty for a naturally radiant result.
Full Mouth Reconstruction with Implants & Porcelain Bridgework
An incredible restoration with full-mouth implants and porcelain bridgework, blending strength and aesthetics for a radiant, confident smile.
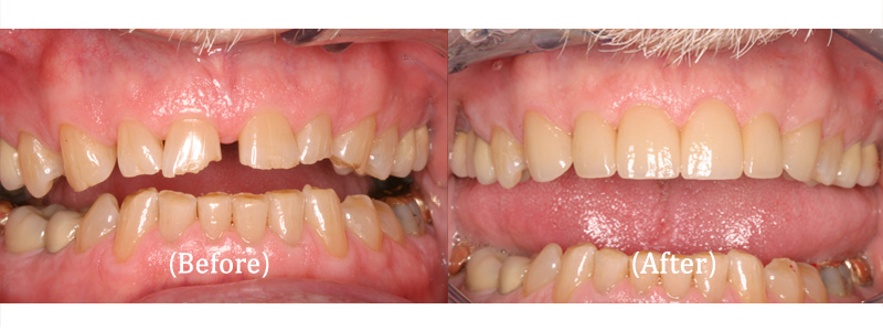
Upper Arch Porcelain Restoration
A complete upper arch rejuvenation with porcelain restorations, restoring beauty, durability, and a confident, natural-looking smile.
Upper Cosmetic Fountain of Youth Denture
A remarkable transformation with an upper cosmetic Fountain of Youth denture, restoring a youthful, radiant smile with enhanced support and natural beauty.
Full Upper Implant-Supported Teeth
A life-changing restoration with a full upper arch of implant-supported teeth, bringing back strength, function, and a naturally radiant look.
Smile Makeover
Upper and Lower Full Mouth Reconstruction – Winner of the ‘Give Back a Smile’ Program
A life-changing full-mouth reconstruction, giving back a confident and radiant smile with expertly crafted restorations for beauty, function, and renewed self-esteem.
Upper and Lower Full Mouth Reconstruction – Winner of the ‘Give Back a Smile’ Program
A life-changing full-mouth reconstruction, giving back a confident and radiant smile with expertly crafted restorations for beauty, function, and renewed self-esteem.
New Upper Fountain of Youth Cosmetic Denture
A remarkable smile rejuvenation with an Upper Fountain of Youth cosmetic denture, restoring volume, support, and a youthful, radiant appearance.
New Upper Fountain of Youth Cosmetic Denture
A remarkable smile rejuvenation with an Upper Fountain of Youth cosmetic denture, restoring volume, support, and a youthful, radiant appearance.
Full Upper Arch Reconstruction
An amazing restoration with a full upper arch reconstruction, blending strength, function, and beauty for a seamless, natural-looking smile.
Full Upper Arch Reconstruction
An amazing restoration with a full upper arch reconstruction, blending strength, function, and beauty for a seamless, natural-looking smile.
Full Smile Makeover
A complete smile makeover with custom veneers, designed for a fresh, natural, and confident look.
Full Smile Makeover
A complete smile makeover with custom veneers, designed for a fresh, natural, and confident look.
Upper Full Mouth Cosmetic Removable Teeth
A magnificent restoration with upper full-mouth cosmetic removable teeth, creating a seamless, comfortable, and beautifully radiant new smile.
Veneers
Upper 10 Veneers and Special Whitening
A bright, confident smile with 10 veneers and special whitening for an extra radiant glow.
Upper 10 Veneers and Special Whitening
A bright, confident smile with 10 veneers and special whitening for an extra radiant glow.
Upper & Lower Veneers
A full smile transformation with veneers on both the upper and lower teeth for a flawless finish
Upper & Lower Veneers
A full smile transformation with veneers on both the upper and lower teeth for a flawless finish.
Upper 8 Porcelain Veneers with a Laser Tissue Lift
A complete smile refresh with eight veneers and a laser tissue lift for a smooth, natural gum line.
Upper 8 Porcelain Veneers with a Laser Tissue Lift
A complete smile refresh with eight veneers and a laser tissue lift for a smooth, natural gum line.
Upper 8 Veneers
A balanced and polished smile with eight custom veneers, bringing symmetry and brightness.
Upper 8 Veneers
A balanced and polished smile with eight custom veneers, bringing symmetry and brightness.
Upper 6 Veneers
A subtle but stunning transformation with six veneers, enhancing the smile while keeping it natural.
Upper 6 Veneers
A subtle but stunning transformation with six veneers, enhancing the smile while keeping it natural.
Upper 10 Veneers
A beautiful smile upgrade with 10 porcelain veneers, creating a brighter, more even look.
Upper 10 Veneers
A beautiful smile upgrade with 10 porcelain veneers, creating a brighter, more even look.
Upper Lateral Porcelain Veneers
A subtle yet striking enhancement with upper lateral porcelain veneers, refining the smile with perfect harmony and a naturally bright finish.
Upper Lateral Porcelain Veneers
A subtle yet striking enhancement with upper lateral porcelain veneers, refining the smile with perfect harmony and a naturally bright finish.
Pageant Lady – Upper Smile Makeover with 10 Veneers to Correct Short, Worn Teeth
A pageant-worthy transformation with ten custom veneers, restoring worn teeth to their ideal shape and creating a confident, stage-ready smile.
Pageant Lady – Upper Smile Makeover with 10 Veneers to Correct Short, Worn Teeth
A pageant-worthy transformation with ten custom veneers, restoring worn teeth to their ideal shape and creating a confident, stage-ready smile.
Upper 10 Veneers
A dazzling smile makeover with ten expertly designed veneers, enhancing shape, symmetry, and brightness for a naturally flawless look.
Upper 10 Veneers
A dazzling smile makeover with ten expertly designed veneers, enhancing shape, symmetry, and brightness for a naturally flawless look.
Upper 8 Veneers Smile Makeover to Correct a ‘Reverse Smile’
A breathtaking smile transformation with eight custom veneers, correcting a reverse smile and creating a perfectly balanced, youthful appearance.
Upper 8 Veneers Smile Makeover to Correct a ‘Reverse Smile’
A breathtaking smile transformation with eight custom veneers, correcting a reverse smile and creating a perfectly balanced, youthful appearance.
Upper 10 Veneers
A picture-perfect enhancement with ten stunning veneers, delivering a beautifully bright, seamless, and confidence-boosting new smile.
Upper 10 Veneers
A picture-perfect enhancement with ten stunning veneers, delivering a beautifully bright, seamless, and confidence-boosting new smile.
Veneers and Contouring
A refined smile with veneers and contouring for smooth, even, and beautifully shaped teeth.
Veneers and Contouring
A refined smile with veneers and contouring for smooth, even, and beautifully shaped teeth.
Veneers and Soft Tissue Laser Contouring
A transformed smile with veneers and precise laser contouring for balanced gums and flawlessly shaped teeth.
Veneers and Soft Tissue Laser Contouring
A transformed smile with veneers and precise laser contouring for balanced gums and flawlessly shaped teeth.
Minimal Prep Veneers on Upper 4 Teeth
A subtle yet stunning upgrade with minimal-prep veneers, enhancing the upper four teeth for a naturally beautiful and refined smile.
Minimal Prep Veneers on Upper 4 Teeth
A subtle yet stunning upgrade with minimal-prep veneers, enhancing the upper four teeth for a naturally beautiful and refined smile.
Full Upper and Lower Smile Makeover with Veneers
A stunning transformation with custom veneers on both arches, creating a beautifully balanced, bright, and confident smile.
Upper Porcelain Veneers
A fabulous smile enhancement with upper porcelain veneers, refining shape and color for a flawless, picture-perfect result.
Upper Smile Makeover with Veneers
A beautiful transformation with custom veneers, enhancing the upper smile with perfect symmetry, natural brilliance, and a confidence-boosting glow.
Upper Smile Makeover with Porcelain Veneers
A flawless smile upgrade with expertly crafted porcelain veneers, creating a bright, balanced, and naturally stunning appearance.
Upper Arch Reconstruction
A stunning smile makeover with porcelain veneers on both arches, enhancing symmetry, brightness, and elegance for a flawless, natural look.
Upper and Lower Smile Makeover with Porcelain Veneers
A stunning smile makeover with porcelain veneers on both arches, enhancing symmetry, brightness, and elegance for a flawless, natural look.
Upper and Lower Arch Reconstructions with Porcelain Veneers
A wonderful transformation with full upper and lower arch reconstructions using porcelain veneers, restoring balance, brightness, and a naturally stunning smile.
Upper Smile Makeover with Porcelain Veneers
A breathtaking smile makeover with custom porcelain veneers, refining shape and color for a flawless, naturally luminous transformation.
Upper Veneers Smile Makeover
A lovely smile makeover with upper veneers, enhancing symmetry and brilliance for a naturally stunning and confident new look.
Upper Veneers
A beautiful transformation with upper veneers, restoring shape and color for a polished, radiant, and picture-perfect smile.
Upper 6 Porcelain Veneers
A flawless enhancement with six porcelain veneers, refining the upper smile with perfect harmony, brightness, and a naturally elegant look.
Upper 8 Porcelain Veneers
A stunning smile makeover with eight custom porcelain veneers, creating a brighter, more symmetrical, and confidence-boosting appearance.
Upper 12 Porcelain Veneers
A dazzling transformation with 12 custom porcelain veneers, enhancing the upper arch with perfect symmetry, brightness, and elegance.